O Enceramento de Diagnóstico é uma técnica que permite ilustrar ao paciente o planejamento do tratamento reabilitador pretendido.Confira o Caso Clínico completo.
Ver MaisEste procedimento traz uma maior previsibilidade ao tratamento definitivo, permitindo que tanto o paciente, quanto o operador consigam prever a alteração que acontecerá, se será a esperada e possível no ponto de vista funcional também. Sobre o modelo em gesso da arcada do paciente, realizamos um enceramento de diagnóstico. Este mostra as alterações necessárias de forma, cor e posição dos dentes, para atingir o sorriso desejado, e a partir dele, fazemos uma muralha de silicone que vai atuar como guia para o material provisório. O material provisório não tem a mesma qualidade, textura e funcionalidade do definitivo. O paciente fica admirado e entusiasmado com a transformação imediata. Confira o Caso Clínico completo.
Ver Mais
A mudança que esse tipo de tratamento proporciona na qualidade de vida desses pacientes é incalculável, não só no fator estético, mas principalmente funcional. Confira o Caso Clínico completo.
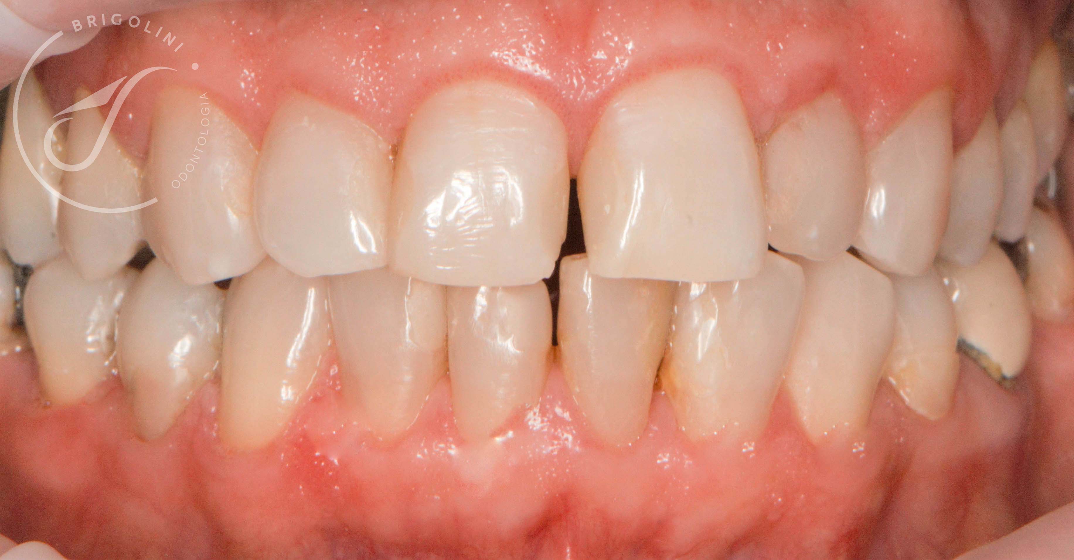
Ver MaisTécnica de Transformação do Sorriso, a partir de alteração de forma e cor dos elementos dentais. O objetivo é buscar um Sorriso mais harmônico, funcional e principalmente natural. Confira o Caso Clínico completo.
Ver Mais
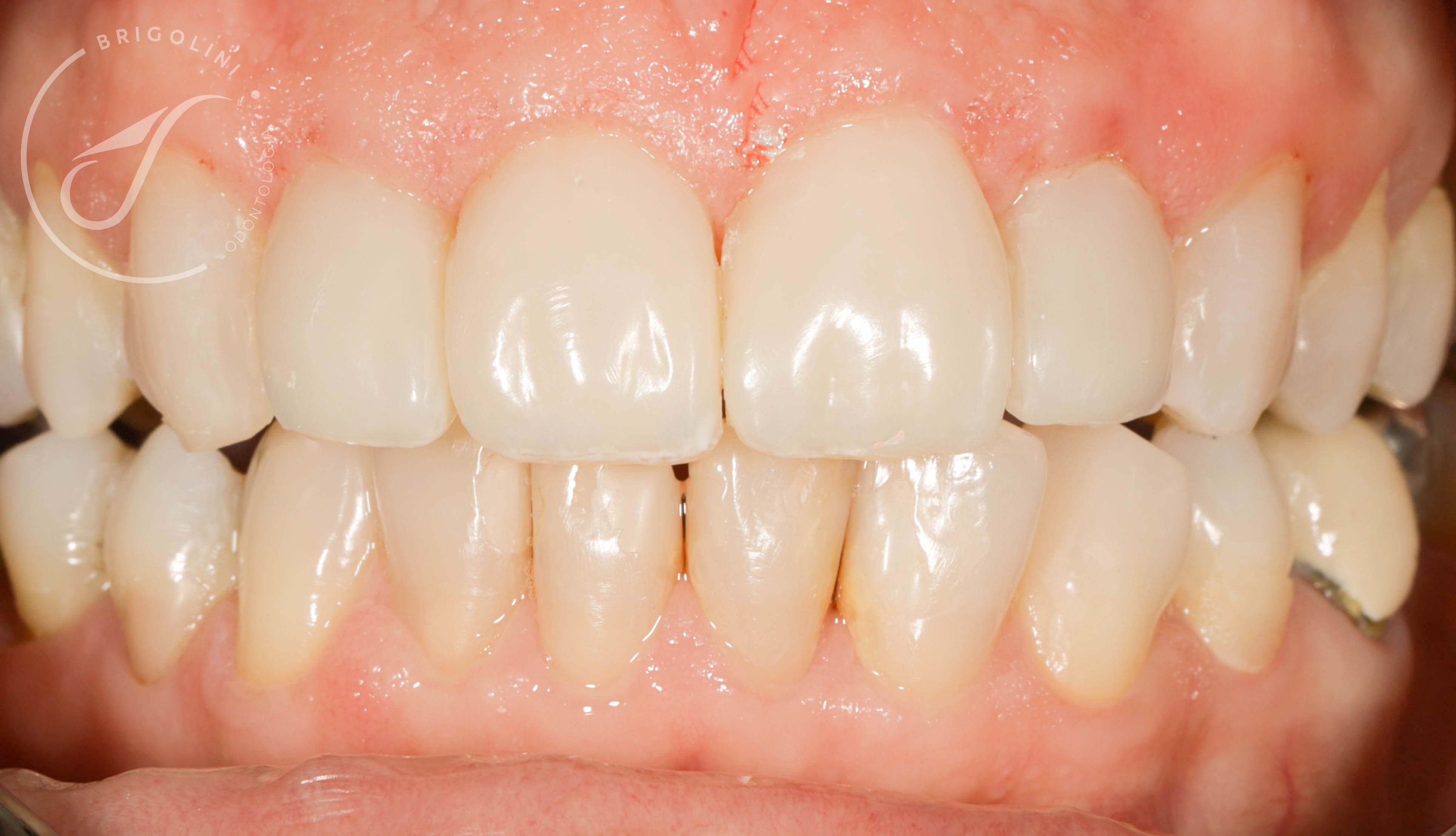
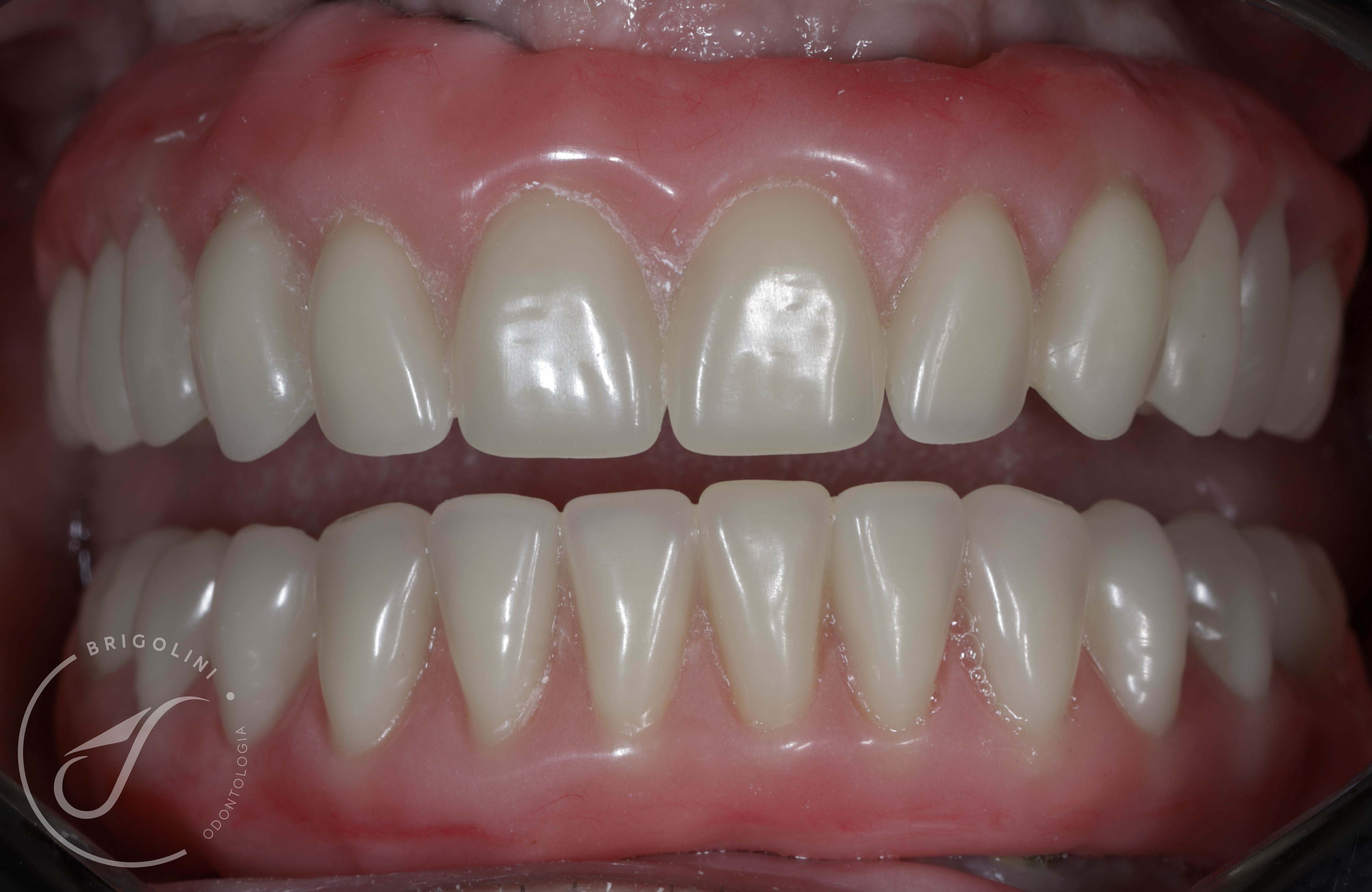
Esse sorriso foi fruto de um trabalho complexo, multidisciplinar e minucioso. Para chegar a um resultado assim é preciso entender o paciente como um todo, suas demandas, sua saúde e sua autoestima. Confira o Caso Clínico completo.
Ver MaisO atendimento neste caso foi realizado de forma imediata com restauração em Resina Composta Nanoparticuada associada a colagem de fragmento dental próprio do paciente. Confira o Caso Clínico completo.
Ver Mais
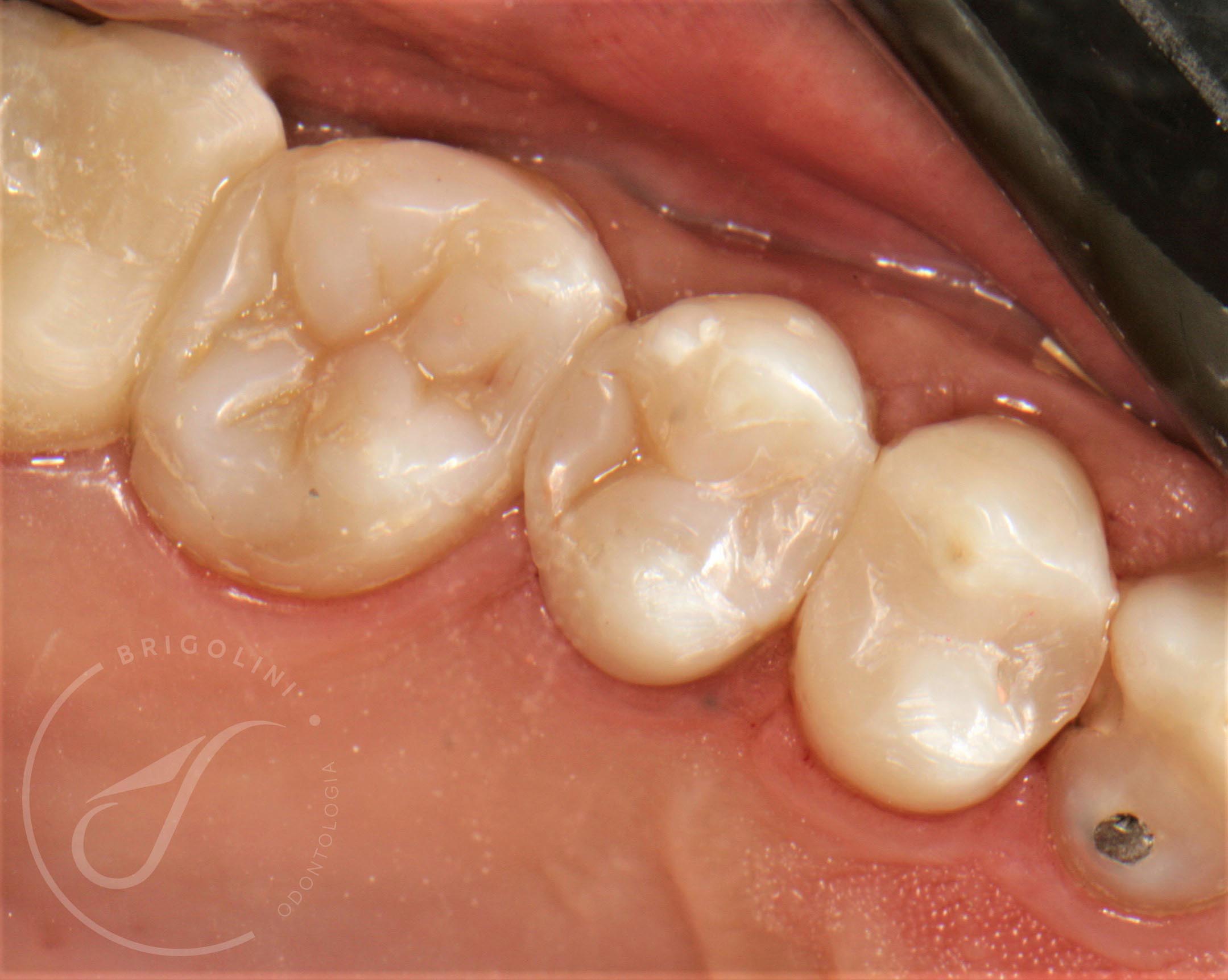
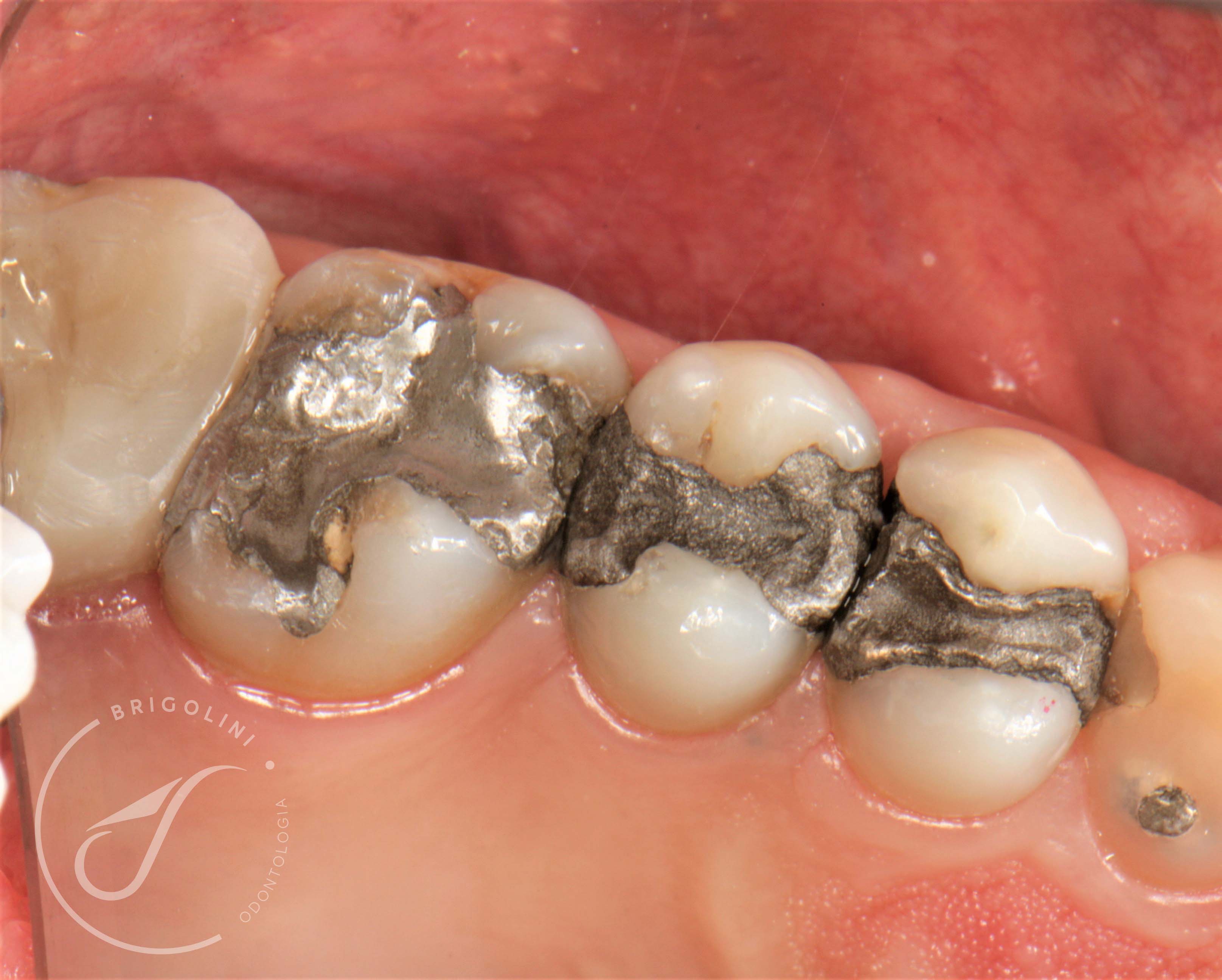
A o conhecimento da técnica e sua aplicação de forma impecável, associada a dedicação e amor pelo que faz, traz resultados como este, devolvendo função e estética a elementos posteriores. Confira o Caso Clínico completo.
Ver MaisAs Resinas Compostas possibilitam um tratamento restaurador rápido, resistente, biocompatível, duradouro e com grande proximidade estética do elemento natural, com texturas e coloração de incrível mimetismo. A troca de restaurações antigas e danificadas por restaurações realizadas em Resina Composta é uma prática diária de nossa clínica. A o conhecimento da técnica e sua aplicação de forma impecável, associada a dedicação e amor pelo que faz, traz resultados como este, devolvendo função e estética a elementos posteriores.
Esse sorriso foi fruto de um trabalho complexo, multidisciplinar e minucioso. Para chegar a um resultado assim é preciso entender o paciente como um todo, suas demandas, sua saúde e sua autoestima . Um pouco da técnica utilizada: cirurgia mucogengival estética avançada e reabilitação protética com coroas totais em Emax CAD/CAM. Todo planejamento e desenvolvimento do trabalho realizado foi com suporte digital, tecnologia avançada que nos auxilia na previsibilidade, elaboração e execução do tratamento.
Técnica de Transformação do Sorriso, a partir de alteração de forma e cor dos elementos dentais. O objetivo é buscar um Sorriso mais harmônico, funcional e principalmente natural. O mimetismo do dente natural não é fácil de ser alcançado, sendo assim lançamos mão dessa técnica trabalhada em detalhes, e o uso de materiais apropriados para isso, é de extrema importância. A extratificação das camadas de resinas compostas, o uso de pigmentos e capacidade técnica do profissional são os pontos principais do processo. Sorriso mais Bonito! Sorriso mais Saudável!
A reabilitação do Tipo Protocolo promove mudança no paciente do estado de desdentado total ou portador de uma dentadura removível, para portador de uma prótese total fixa, suportada por implantes. A mudança que esse tipo de tratamento proporciona na qualidade de vida desses pacientes é INCALCULÁVEL, não só no fator estético, mas principalmente funcional, pois devolve a ele a capacidade de realizar funções bem próximo ao que era quando ele tinha seus dentes naturais. Eles voltam a mastigar com eficiência, a falar com mais clareza, a morder e cortar alimentos, a ter uma vida social mais tranquila... eles voltam a sorrir sem medo e sem vergonha.
Técnica que permite uma pré visualização do planejamento do futuro tratamento restaurador estético, uma espécie de maquete. Este procedimento traz uma maior previsibilidade ao tratamento definitivo, permitindo que tanto o paciente, quanto o operador consigam prever a alteração que acontecerá, se será a esperada e possível no ponto de vista funcional também. Sobre o modelo em gesso da arcada do paciente, realizamos um enceramento de diagnóstico. Este mostra as alterações necessárias de forma, cor e posição dos dentes, para atingir o sorriso desejado, e a partir dele, fazemos uma muralha de silicone que vai atuar como guia para o material provisório. O material provisório não tem a mesma qualidade, textura e funcionalidade do definitivo. O paciente fica admirado e entusiasmado com a transformação imediata, e assim ele consegue ver o que muitas vezes não conseguimos mostrar apenas com o planejamento do tratamento, mesmo o digital.
O Enceramento de Diagnóstico é uma técnica que permite ilustrar ao paciente o planejamento do tratamento reabilitador pretendido, podendo assim prever e lapidar as futuras alterações necessárias, de forma e posição, para chegar no resultado esperado. Na JBrigolini Odontologia, os Cirurgiões-dentistas realizam todos os enceramentos diagnósticos de seus pacientes. Caso a caso, de forma individualizada, dando um atendimento diferenciado e pessoal, pois acreditamos que cada paciente requer sua transformação, e só o cuidador da sua saúde bucal para saber quais as alterações são as necessárias no seu caso. Venha conhecer nossa Clínica, agende sua consulta de avaliação...venha desfrutar de um atendimento especial e voltado para você!
O traumatismo dental é bastante comum em crianças, por quedas, colisões, forças de alto impacto, mas também não é incomum entre os adultos essas fraturas acontecerem. As maiores complicações devido a traumas acontecem por falta de atendimento imediato e controle, realizados no consultório pelo Cirurgião-dentista. No caso clínico mostrado, ocorreu uma fratura de coroa dental envolvendo esmalte e dentina, porém sem comprometimento imediato da polpa dental ( tecido que contém vasos sanguíneos e nervos), raiz ou periodonto dental. Mas o controle destes tecidos deve ser realizado ainda por um tempo, pois o trauma pode levar a: morte pulpar, reabsorção radicular, e infelizmente a perda do dente, mesmo tendo passado muito tempo do ocorrido. O atendimento neste caso foi realizado de forma imediata com restauração em Resina Composta Nanoparticuada associada a colagem de fragmento dental próprio do paciente. Além de todos os cuidados que nos norteiam nesse tipos de atendimento, a estética também tem sua posição, sendo sempre procurado a naturalidade da restauração, o mimetismo do dente hígido, para que a fratura seja até esquecida pelo paciente, juntamente com o trauma.